О нас
Курсы
  • Зубным техникам
  • Стоматологам
  • Индивидуальные курсы
Лекторы
  • Лекторы Kravtsov
    Premium Lab
  • Приглашённые лекторы
Подарочный сертификат
Новости
Контакты
    На сайт группы компаний
    +7 977 577-36-36
    +7 977 577-36-36
    E-mail
    edu@kravtsov.dental
    Адрес
    ​111141, Москва, Перово, 1-й проезд Перова Поля, 9с1, Гелиос Сити 3 этаж
    Режим работы
    Пн - Пт: с 9:00 до 18:00
    Учебный центр
    Учебный центр
    • О нас
    • Курсы
      • Зубным техникам
      • Стоматологам
      • Индивидуальные курсы
    • Лекторы
      • Лекторы Kravtsov
        Premium Lab
      • Приглашённые лекторы
    • Подарочный сертификат
    • Новости
    • Контакты
    поиск
    +7 977 577-36-36
    +7 977 577-36-36
    E-mail
    edu@kravtsov.dental
    Адрес
    ​111141, Москва, Перово, 1-й проезд Перова Поля, 9с1, Гелиос Сити 3 этаж
    Режим работы
    Пн - Пт: с 9:00 до 18:00
    Главная
    Каталог
    Зубным техникам
    Практический курс «Секреты идеального попадания в цвет»
    Назад
    Зубным техникам Стоматологам Индивидуальные курсы

    Подробнее о курсе

    Практический курс «Секреты идеального попадания в цвет»
    Практический курс «Секреты идеального попадания в цвет»

    Митсу Фукушима - впервые в России!

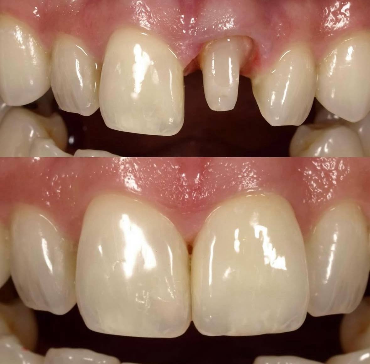
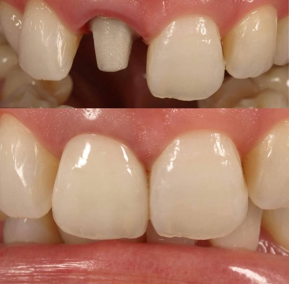
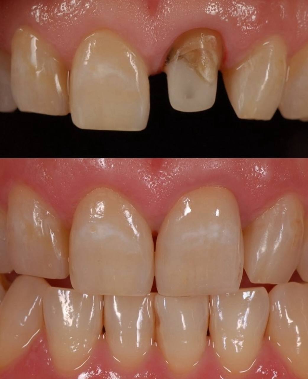
    Практический курс для зубных техников. На курсе будет создание центрального и бокового резца на реальном пациенте!
    В конце курса каждый участник сможет примерить получившийся результат и получить комментарии и рекомендации от мастера

    Количество мест ограничено!
    Зубным техникам Стоматологам
    Практический
    01-02 ноября (сб-вс)
    Москва, Перово, 1-й Перова Поля проезд, 9с1, Гелиос Сити, 3 этаж

    Практический курс «Секреты идеального попадания в цвет»

    Митсу Фукушима - впервые в России!

    Практический курс для зубных техников. На курсе будет создание центрального и бокового резца на реальном пациенте!
    В конце курса каждый участник сможет примерить получившийся результат и получить комментарии и рекомендации от мастера

    Количество мест ограничено!
    Подробнее
    Набор завершён

    Что вас ждёт?

    Концепция курсов:

    Курсы посвящены не просто изготовлению реставраций, а пониманию глубины и цвета. Главная цель – научиться идеальному попаданию при сложных клинических случаях во фронтальном отделе. С помощью использования техники внутреннего окрашивания вы сможете максимально точно передавать оттенки живых зубов

    На практическом курсе работа будет выполнена на реальном пациенте

    Программа курса:

  • Определение цвета и оттенков
  • Восстановление дентинового ядра и эмали
  • Внутреннее окрашивание
  • Использование транслюцентных масс
  • Придание формы и текстурирование
  • Коррекционный обжиг
  • Техника аналогового сравнения
  • Окрашивание
  • Примерка, фото и завершение
  • Лекторы курса

    Митсу Фукушима

    Зубной техник

    Митсу Фукушима — японский зубной техник, специализирующийся на сложнейших одиночных реставрациях, с опытом работы более 20 лет
    За его плечами годы кропотливой работы, оттачивания мастерства и изучения тончайших нюансов цвета и формы.

    Митсу Фукушима – это не просто техник, это художник, который в каждом зубе видит уникальный шедевр. Его работы поражают своей естественностью и гармонией, а секрет кроется в глубоком понимании материалов и виртуозном владении техникой внутреннего окрашивания.

    Он не просто создает реставрации – он возвращает пациентам уверенность в своей улыбке. И теперь у вас есть уникальная возможность перенять опыт этого выдающегося мастера!

    Цены

    Тарифы и программа

    Практический курс «Секреты идеального попадания в цвет»
    Набор завершён
    160 000 ₽
    Заявка

    Другие курсы

    Продвинутый курс "Навигационная хирургия: от планирования до 3D-печати"
    Артем Романов
    28 февраля - 01 марта
    Продвинутый курс "Навигационная хирургия: от планирования до 3D-печати"
    Групповой курс
    от 45 000 ₽
    Есть места
    Подробнее
    Хит
    Базовый практический курс по Exocad
    Илья Давидов
    14-15 марта (сб-вс)
    Базовый практический курс по Exocad
    Групповой курс
    от 40 000 ₽
    Есть места
    Подробнее
    4 формы
    Мариано Маурици
    26-27 марта (чт-пт)
    4 формы
    Групповой курс
    от 150 000 ₽
    Есть места
    Подробнее
    Новинка
    Практический курс " Виниры на рефракторе. IPS e.max Ceram"
    Луис Мампель
    26-27 марта (чт-пт)
    Практический курс " Виниры на рефракторе. IPS e.max Ceram"
    Групповой курс
    от 80 000 ₽
    Есть места
    Подробнее
    Хит
    Новинка
    Международный конгресс MASTERS2026
    Луис Мампель
    Алан Солано
    Дмитрий Филинов
    28-29 марта (сб-вс)
    Международный конгресс MASTERS2026
    Демонстрационный курс
    от 40 000 ₽
    Есть места
    Подробнее
    Новинка
    Практический курс "WAX CREATIONS"
    Алан Солано
    30-31 марта (пн-вт)
    Практический курс "WAX CREATIONS"
    Групповой курс
    от 50 000 ₽
    Есть места
    Подробнее
    Хит
    Бело-розовая эстетика
    Константин Кравцов
    21-22 февраля (сб-вс)
    Бело-розовая эстетика
    Групповой курс
    Набор завершён
    Подробнее
    Зубным техникам Стоматологам Индивидуальные курсы
    Назад
    На сайт группы компаний
    ​111141, Москва, Перово, 1-й проезд Перова Поля, 9с1, Гелиос Сити 3 этаж
    edu@kravtsov.dental
    +7 977 577-36-36
    +7 977 577-36-36
    E-mail
    edu@kravtsov.dental
    Адрес
    ​111141, Москва, Перово, 1-й проезд Перова Поля, 9с1, Гелиос Сити 3 этаж
    Режим работы
    Пн - Пт: с 9:00 до 18:00
    Разработка: Веб-студия Realink
    Учебный центр
    • О нас
    • Курсы
      • Зубным техникам
      • Стоматологам
      • Индивидуальные курсы
    • Лекторы
      • Лекторы Kravtsov
        Premium Lab
      • Приглашённые лекторы
    • Подарочный сертификат
    • Новости
    • Контакты
    Наверх